🩺صحة و جمال
علاج جراحي جديد يقي العيون من اضطراب "ماكتيل"

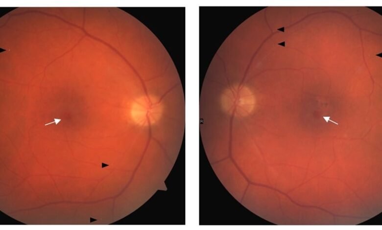
قدمت دراسة جديدة أدلة دامغة على إمكانية نجاح زراعة جراحية وقائية للأعصاب في إبطاء فقدان البصر الذي يسببه توسع الشعيرات البقعي من النوع الثاني (ماكتيل)، وهو اضطراب لم تتوفر له خيارات علاجية معتمدة.
Source link